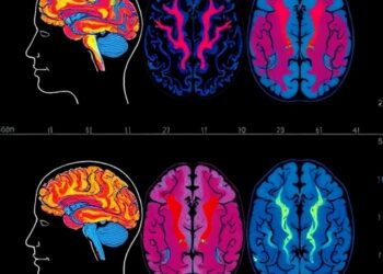
Neurophenotypes of Depression Revealed by Brain Patterns
In a groundbreaking study poised to transform the understanding of major depressive disorder (MDD), Luo, Li, Xu, and colleagues have ...
In a groundbreaking study poised to transform the understanding of major depressive disorder (MDD), Luo, Li, Xu, and colleagues have ...
In a groundbreaking move that promises to reshape our understanding of obsessive-compulsive disorder (OCD) during adolescence, recent research has illuminated ...
In a groundbreaking advancement in the field of psychiatric neuroscience, a recent study published in Translational Psychiatry has unveiled new ...
In a groundbreaking advancement in the field of psychiatric neuroscience, recent research has shed light on the intricate relationship between ...
In a groundbreaking study published in Translational Psychiatry, researchers have harnessed the unparalleled power of 7-Tesla ultra-high field magnetic resonance ...
In a groundbreaking advancement in psychiatric neuroscience, a recent study published in Translational Psychiatry delves into the intricate landscape of ...
In the rapidly evolving field of psychiatric neuroscience, a groundbreaking study has emerged, shedding new light on the intrinsic brain ...
In the pursuit of unraveling the complexities of Major Depressive Disorder (MDD), a recent breakthrough study has leveraged advanced neuroimaging ...
In a captivating revelation set against the backdrop of contemporary mental health research, Dr. Kerry J. Ressler, the Chief Scientific ...
© 2025 Scienmag - Science Magazine
© 2025 Scienmag - Science Magazine