Super-Resolution Ultrasound Reveals Brain Issues in Parkinson’s
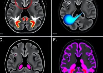
In a groundbreaking study set to redefine our understanding of Parkinson’s disease, researchers have employed cutting-edge super-resolution ultrasound imaging to ...
In a groundbreaking study set to redefine our understanding of Parkinson’s disease, researchers have employed cutting-edge super-resolution ultrasound imaging to ...
In a groundbreaking development that could pave the way for innovative treatments for Parkinson’s disease, researchers have identified a critical ...
In a groundbreaking new study that could redefine our understanding of Parkinson’s disease pathology, scientists have uncovered compelling evidence that ...
In a groundbreaking study published in npj Parkinson’s Disease, researchers have unveiled unprecedented insights into the molecular and cellular underpinnings ...
In a groundbreaking study that could redefine our understanding of Parkinson’s disease, researchers have uncovered a striking enrichment of gut-derived ...
A groundbreaking new study led by Marzouk, Rashwan, El-Hadidi, and colleagues has unveiled compelling connections between the gut microbiome and ...
Success! An email was just sent to confirm your subscription. Please find the email now and click 'Confirm Follow' to start subscribing.
© 2025 Scienmag - Science Magazine
© 2025 Scienmag - Science Magazine