White Matter Changes in 15q11.2 CNV Carriers
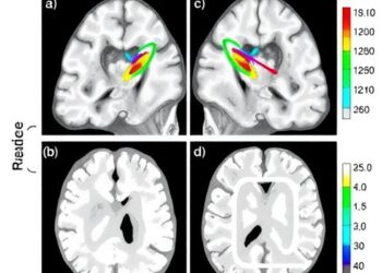
In a groundbreaking advancement that bridges genetics and neuroimaging, a new study has illuminated the subtle yet profound effects of ...
In a groundbreaking advancement that bridges genetics and neuroimaging, a new study has illuminated the subtle yet profound effects of ...
© 2025 Scienmag - Science Magazine
© 2025 Scienmag - Science Magazine