BU Scientists Create Innovative Tool to Explore Interactions Among Brain Cell Types
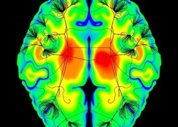
In the evolving landscape of neuroscience, one of the greatest challenges is deciphering the complex electrical symphony played by diverse ...
In the evolving landscape of neuroscience, one of the greatest challenges is deciphering the complex electrical symphony played by diverse ...
In groundbreaking new research, neuroscientists have unveiled critical insights into how the prefrontal cortex (PFC) and other cortical regions encode ...
© 2025 Scienmag - Science Magazine
© 2025 Scienmag - Science Magazine