In a striking medical revelation, researchers have reported an extraordinary case of primary lymphoma manifesting within the pancreas, an exceedingly rare presentation of Hodgkin lymphoma that challenges conventional diagnostic protocols. This case, documented in the latest volume of Oncoscience, underscores the critical necessity of tissue biopsy in differentiating pancreatic masses, which may dramatically alter therapeutic journeys and prognoses. The presented patient, a 50-year-old male, experienced insidious symptoms such as low-grade fever, persistent abdominal pain, and significant involuntary weight loss—hallmarks conventionally suggestive of pancreatic adenocarcinoma, the most prevalent and notoriously lethal pancreatic malignancy.
Pancreatic adenocarcinoma often dominates differential diagnoses in cases of pancreatic masses due to its high incidence and characteristic radiological features. Yet, this case diverged starkly from this paradigm, revealing through sophisticated diagnostic evaluation that the underlying pathology was Hodgkin lymphoma, specifically the nodular sclerosis subtype. This revelation pivots the clinical approach away from surgical excision or radiation therapies toward a chemotherapy regimen precisely targeting lymphomatous cells, emphasizing the transformative power of accurate pathological classification.
The rarity of primary pancreatic lymphoma (PPL), representing less than 1% of all pancreatic neoplasms, is compounded when the disease is identified as Hodgkin lymphoma rather than the more frequently encountered non-Hodgkin variants. This scarcity intensifies the diagnostic challenge, particularly given the overlapping symptomatology and imaging findings with pancreatic adenocarcinoma and inflammatory pseudocysts. Whereas adenocarcinomas typically provoke pancreatic ductal obstruction, tissue necrosis, and calcifications, lymphoma lesions often evade such damaging sequelae, a subtlety that demands heightened clinical scrutiny and interdisciplinary collaboration.
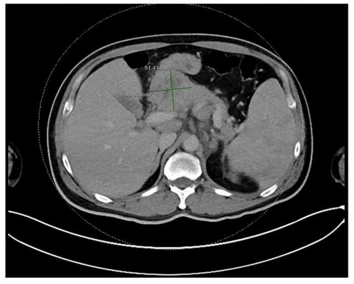
Imaging studies, predominantly contrast-enhanced computed tomography (CT), identified a substantial mass within the pancreatic parenchyma accompanied by adjacent peripancreatic lymphadenopathy. These radiological impressions initially heightened suspicion for adenocarcinoma; however, the absence of classic features such as ductal dilation or hallmark necrosis signaled the necessity for histological confirmation. Fine needle aspiration or core biopsy followed by immunohistochemical staining ultimately elucidated the neoplastic lymphoid population characteristic of nodular sclerosis Hodgkin lymphoma, thereby redefining the diagnostic landscape.
The significance of this diagnosis cannot be overstated in clinical oncology, as the therapeutic regimens and prognostic outcomes for Hodgkin lymphoma diverge profoundly from those associated with pancreatic adenocarcinoma. The patient was commenced on the A+AVD protocol, a contemporary chemotherapy regimen integrating brentuximab vedotin with adriamycin, vinblastine, and dacarbazine, reflecting advancements in targeted oncologic therapies that enhance efficacy while mitigating toxicity. Early identification of Hodgkin lymphoma in such an unusual location fortifies the potential for favorable responses and long-term remission.
This case serves as a poignant reminder of the deficiencies of relying solely on imaging criteria when evaluating pancreatic masses. The overlapping clinical presentations necessitate a paradigm shift towards mandatory tissue diagnosis, ensuring that malignancies with radically different treatment algorithms are accurately discerned. Furthermore, it exposes the clinical hazards inherent in premature surgical interventions absent confirmatory pathology, which may subject patients to unnecessary morbidity without addressing the primary oncologic process.
Moreover, this clinical vignette underscores the dynamic nature of cancer biology, wherein hematologic malignancies may mimic solid organ tumors in both presentation and radiologic appearance. Awareness of such atypical manifestations among clinicians, radiologists, and pathologists is paramount in guiding patient management. Recognition is especially crucial given the continually evolving landscape of chemotherapeutic agents and immunotherapies that offer renewed hope in malignancies traditionally considered challenging to treat.
The literature surrounding primary pancreatic Hodgkin lymphoma remains sparse, rendering each documented case invaluable for expanding collective understanding. Such reports contribute significantly to the evolving compendium of knowledge, informing diagnostic frameworks, differential considerations, and treatment paradigms. They highlight the indispensable role of multidisciplinary teams working in concert to interpret clinical, radiologic, and pathological data holistically.
In light of innovations such as antibody-drug conjugates like brentuximab vedotin, the prognosis for patients with Hodgkin lymphoma, even in atypical presentations, has improved markedly. These therapies capitalize on targeted delivery mechanisms that selectively eradicate malignant cells while preserving normal tissue integrity. Early, accurate diagnosis thereby becomes a cornerstone in optimizing therapeutic outcomes and quality of life, reinforcing the imperative for vigilance in potential mimic scenarios.
Ultimately, this unusual case elucidates a critical lesson for the oncologic community: pancreatic masses demand meticulous evaluation beyond radiographic impressions. The implications extend beyond individual patient care, influencing clinical guidelines, diagnostic algorithms, and educational priorities. By embracing advanced diagnostic strategies and personalized treatment regimens, the oncology field continues to evolve towards precision medicine even in the most complex and unexpected clinical situations.
The case exemplifies the intersection of rare pathology with common clinical challenges, inviting further investigation into the pathophysiology, diagnostic markers, and optimal management of primary pancreatic lymphomas. It beckons the broader oncology community to remain open to atypical presentations and to advocate for comprehensive diagnostic approaches that safeguard against misdiagnosis and suboptimal treatment.
This discovery also invites a reevaluation of current imaging protocols and diagnostic heuristics in pancreatic oncology, advocating for integration of novel imaging modalities and molecular diagnostics. As imaging technology advances, combining morphological assessment with functional and molecular data may refine diagnostic accuracy, reducing reliance on invasive procedures while preserving diagnostic certainty.
In conclusion, this compelling case reinforces the axiom that not all pancreatic masses are created equal and that meticulous diagnostic diligence, inclusive of tissue biopsy and immunophenotyping, is essential. The successful identification of primary pancreatic Hodgkin lymphoma in a patient initially presumed to have adenocarcinoma not only altered the treatment trajectory but also enhanced prognostic optimism, underscoring the life-altering impact of precision oncology.
Subject of Research: People
Article Title: A peculiar case of primary lymphoma of pancreas: A rare presentation of Hodgkin lymphoma
News Publication Date: October 6, 2025
Web References:
http://dx.doi.org/10.18632/oncoscience.628
https://mediasvc.eurekalert.org/Api/v1/Multimedia/a6bb0733-9c44-41b9-a6d3-605583e27acf/Rendition/low-res/Content/Public
Image Credits: Copyright: © 2025 Mohiuddin et al. This is an open access article distributed under the terms of the Creative Commons Attribution License (CC BY 4.0).
Keywords: cancer, primary pancreatic lymphoma, Hodgkin lymphoma

