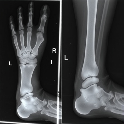
In a groundbreaking study published in Pediatric Radiology, researchers Mo, Li, and Huang have brought to light a fascinating correlation between radiographic imaging and the diagnosis of pediatric talocalcaneal coalition. This condition, which involves an abnormal fusion of the talus and calcaneus bones in the foot, can often present diagnostic challenges. The researchers scrutinized the use of the so-called “gorilla lip sign”—a distinctive radiologic marker observable in anteroposterior (AP) radiographs. The implications of this study are far-reaching for pediatric healthcare, specifically in orthopedics and radiology.
Talocalcaneal coalition manifests during childhood and can lead to a host of complications, including pain, limited range of motion, and difficulties in ambulation. The condition can often elude diagnosis, particularly since symptoms may not be evident until later in childhood or adolescence. By employing the gorilla lip sign as a diagnostic tool, the researchers aim to improve the accuracy and efficiency of identifying this coalition, thereby assisting healthcare professionals in providing timely interventions.
The gorilla lip sign is characterized by a specific presentation of the lateral aspect of the foot in the AP view of radiographs. When interpreted correctly, it serves as a powerful visual cue, allowing radiologists to diagnose talocalcaneal coalition effectively. This study emphasizes the importance of recognizing classic signs in radiology that can directly impact patient management and outcomes. For radiologists and orthopedic specialists, this newfound knowledge reiterates the critical role of advanced imaging techniques in evaluating structural abnormalities in children.
Anteroposterior radiographs are a standard imaging modality in pediatric practice due to their accessibility, non-invasiveness, and the wealth of information they can provide. However, interpreting these films requires a keen eye for detail. The gorilla lip sign stands out as a particularly reliable indicator, setting the groundwork for further exploration into other potential markers that could enhance diagnostic efficacy. The researchers meticulously analyzed numerous AP radiographs, documenting the presence of the gorilla lip sign in a series of pediatric patients diagnosed with talocalcaneal coalition.
The study draws on a robust sample size and employs rigorous statistical analysis to substantiate its claims. By establishing a clear association between the gorilla lip sign and the presence of talocalcaneal coalition, the research team has provided valuable insights that can reshape clinical practice. Prior studies have often overlooked subtle signs in radiological imaging; this research compels radiologists to sharpen their interpretative skills, improving the overall diagnostic process for this condition.
In clinical settings, misdiagnosis or delayed diagnosis can lead to prolonged suffering for young patients. By highlighting the gorilla lip sign, this research advocates for more immediate recognition and treatment. The condition’s potential to continue causing pain and mobility issues well into adulthood certainly adds to the urgency of accurate diagnosis. The authors advocate that increased awareness of this sign will empower healthcare providers to consider the possibility of talocalcaneal coalition more readily, facilitating timely and appropriate intervention for affected patients.
The implications of these findings are not isolated to radiology. Pediatricians, orthopedists, and physical therapists will also benefit from familiarity with the gorilla lip sign. Early intervention can dramatically alter the trajectory of a child’s physical development, minimizing the long-term impacts of talocalcaneal coalition. Healthcare providers should have heightened awareness and training mechanisms in place to educate practitioners on identifying this sign during routine evaluations.
Furthermore, the gorilla lip sign could serve as a stepping stone for further studies that aim to identify additional radiologic markers for various pediatric orthopedic conditions. The preliminary success of this study prompts a larger discussion regarding the integration of advanced imaging studies into routine diagnostic protocols for pediatricians and orthopedic specialists alike. As research continues to evolve, the potential for improved pediatric patient outcomes remains promising.
This study successfully bridges the gap between fundamental research and clinical application, a necessary evolution in the practice of medicine. The gorilla lip sign is not just a radiological curiosity; it represents a tangible avenue for enhancing the speed and accuracy of diagnoses, guiding treatment decisions, and ultimately improving the quality of life for many children facing the challenges of talocalcaneal coalition.
The researchers also call for larger, multi-center studies to validate their findings further and catalog any additional anatomic variations that could potentially influence the presentation of the gorilla lip sign. Such efforts would contribute substantially to the field, leading to a more nuanced understanding of how structural anomalies in the pediatric population can be recognized and treated effectively.
In conclusion, the diagnostic utility of the gorilla lip sign presents an important advancement in pediatric radiology. As this research gains traction within the medical community, it has the potential to reshape the landscape of how pediatric orthopedic conditions are diagnosed and managed. Continued education and awareness regarding this sign among healthcare professionals will be key to improving detection rates and ensuring that young patients receive the necessary care promptly.
As we embrace these advances in pediatric radiology, ongoing dialogue among specialists will foster an environment of collaboration that ultimately benefits patient care. The gorilla lip sign is a testament to the evolving nature of medicine, where innovation in diagnostic tools and techniques results in improved health outcomes for future generations.
Subject of Research: Diagnostic utility of the gorilla lip sign in pediatric talocalcaneal coalition.
Article Title: The gorilla lip sign: diagnostic utility of anteroposterior radiographs for pediatric talocalcaneal coalition.
Article References:
Mo, Y., Li, H., Huang, P. et al. The gorilla lip sign: diagnostic utility of anteroposterior radiographs for pediatric talocalcaneal coalition.
Pediatr Radiol (2025). https://doi.org/10.1007/s00247-025-06430-z
Image Credits: AI Generated
DOI: https://doi.org/10.1007/s00247-025-06430-z
Keywords: Pediatric radiology, talocalcaneal coalition, gorilla lip sign, anteroposterior radiographs, diagnostic imaging.

