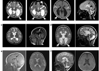
Shortly after Kelly Cervantes’ daughter Adelaide was born, she started having terrible seizures. Doctors were unable to give her a...
Understanding a species’ distribution, differentiation and the factors affecting its genetic diversity is important for sustainable conservation and effective management,...
Media Contacts: FOR IMMEDIATE RELEASE Media Contacts: Colleen McDonald Sr. Consultant, Earned Media Kara Reed Director of Development Lisa Babin...
Two groundbreaking studies published in the journal Cell shed light on the assembly, function and evolutionary diversity of the chloroplast...
Researchers from the Institute of Organic Chemistry and Biochemistry of the Czech Academy of Sciences, in cooperation with colleagues from...
BOZEMAN – Scientists at Montana State University have been studying unique immune systems for decades, and a research team in...
CHAMPAIGN, Ill. — Using evolution as a guiding principle, researchers have successfully engineered bacteria-yeast hybrids to perform photosynthetic carbon assimilation,...
Over 12,000 feet below the surface of the sea, in a region of the Pacific Ocean known as the Clarion-Clipperton...
Synthetic immunology, an innovative field of research which could lead to fundamentally new approaches and methods in the treatment of...
Building on their pioneering work on epigenetics of aging and transposable elements, researchers Dr. Ádám Sturm and Dr. Tibor Vellai...
© 2025 Scienmag - Science Magazine
© 2025 Scienmag - Science Magazine