“FDG-PET is generally considered as a useful metabolic evaluation tool, while it is also thought to have an emerging role...
Neurological disorders are becoming an increasingly significant societal burden, highlighting the critical need for improved diagnostic and therapeutic approaches. Atomic...
Colorectal cancer is the second leading cause of cancer deaths worldwide and the third most diagnosed cancer, affecting over a...
Findings refute former consensus that pregnancies post-transplant are nearly impossible, highlight need for increased fertility counseling Findings refute former consensus...
The element actinium was first discovered at the turn of the 20th century, but even now, nearly 125 years later,...
Two-thirds of the public say they are very or somewhat worried about being told they have the disease – higher...
The primary goal in cancer drug research is not merely to discover compounds that can destroy cancer cells, but to...
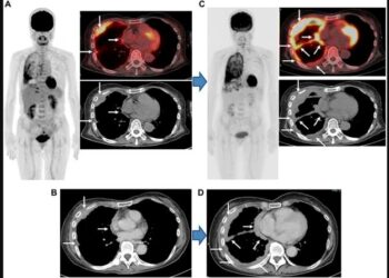
RESEARCH SUMMARY RESEARCH SUMMARY Study Title: CAR memory-like NK cells targeting the membrane proximal domain of mesothelin demonstrate promising activity in...
“We are optimistic that the incorporation of ADCs into the treatment of aggressive tumors and treatment refractory gynecologic cancers will...
About The Study: In this cross-sectional study, the expression of several stress-related genes in prostate tumors was higher among men residing...
© 2025 Scienmag - Science Magazine
© 2025 Scienmag - Science Magazine