Innovative MRI Contrast Agent Advances Toward Safer, More Effective Diagnostic Imaging
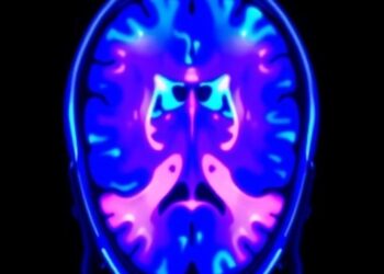
In a remarkable stride forward in the realm of medical imaging, researchers at the University of Birmingham have unveiled a ...
In a remarkable stride forward in the realm of medical imaging, researchers at the University of Birmingham have unveiled a ...
© 2025 Scienmag - Science Magazine
© 2025 Scienmag - Science Magazine