MRI Reveals Hippocampal Changes in Low-Birth-Weight Infants
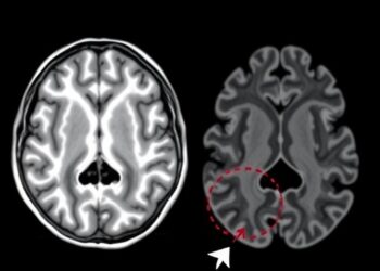
Recent advancements in the realm of neonatal health research have illuminated the intricate relationship between brain development and metabolic processes ...
Recent advancements in the realm of neonatal health research have illuminated the intricate relationship between brain development and metabolic processes ...
© 2025 Scienmag - Science Magazine
© 2025 Scienmag - Science Magazine