ELF4, an integral member of the ETS family of transcription factors, has recently captured significant attention within the scientific community...
A groundbreaking study published in the journal Aging has unveiled significant insights into the effectiveness of platelet-rich plasma (PRP) as...
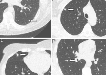
A recent study from the VCU Massey Comprehensive Cancer Center has generated significant excitement in the fight against lung cancer,...
The realm of oncologic surgery is an ever-evolving landscape, characterized by an intricate matrix of clinical decision-making, advanced technical skills,...
Every day, our bodies engage in a remarkable process of cellular division, where billions of cells are replaced to ensure...
A recent study led by Dr. Elizabeth B. Claus from the Yale School of Public Health has uncovered a significant...
Researchers at Weill Cornell Medicine have made significant strides in understanding the mechanisms that regulate the activation of blood stem...
In a groundbreaking discovery, researchers at the Weizmann Institute of Science have unveiled a novel immune mechanism that highlights the...
Researchers at the University of Colorado Anschutz Medical Campus have unveiled an innovative enhancement of CAR-T cell therapy, marking a...
Shimadzu Corporation, known globally for its pioneering role in precision instrumentation, has officially launched the Shimadzu – DxD Hub Diagnomics...
Success! An email was just sent to confirm your subscription. Please find the email now and click 'Confirm Follow' to start subscribing.
© 2025 Scienmag - Science Magazine
© 2025 Scienmag - Science Magazine